Chuyển đến nội dung
  • Giới Thiệu
  • Tin Tức
    • Tin tức và sự kiện
    • Tổ chức sinh nhật
    • Lịch sử khách hàng
  • Quy Trình Làm Việc
  • Báo giá sản phẩm
  • Sản Phẩm Khuyến Mãi
  • Tuyển Dụng
  • Ngân Hàng
  • Liên Hệ
Trang trí bong bóng | Dịch vụ tạo hình bong bóng xinh nghệ thuậtTrang trí bong bóng | Dịch vụ tạo hình bong bóng xinh nghệ thuậtTrang trí bong bóng | Dịch vụ tạo hình bong bóng xinh nghệ thuật
  • TRANG CHỦ
  • TRANG TRÍ SINH NHẬT
    • Phụ Kiện Cho Bé
    • Phụ Kiện Sinh Nhật
    • Cổng Chào Sinh Nhật
    • Sinh Nhật Trọn Gói
    • Sân Khấu Sinh Nhật
    • Backdrop Sinh Nhật
    • Bàn Quà Sinh Nhật
    • Tiểu Cảnh Sinh Nhật
    • Bóng Jumbo
    • Hộp Surprise
    • Sinh Nhật Theo Chủ Đề
  • BONG BÓNG CÁC LOẠI
    In Bong Bóng
    Bong Bóng Thả Rơi
    Bong Bóng Dài Tạo Hình
    Bong Bóng Tròn
    Phụ Kiện Trang Trí
    Bong Bóng Tạo Hình
    Bong Bóng Trái Tim
    Bong Bóng Chữ
    Bong Bóng Số
    ICE CREAM BALLOONS
    Bong Bóng Nghệ Thuật

    Khuyến Mãi Bóng In

    Khi đặt bong bóng in logo

    Bong bóng sỉ và lẻ

    Chuyên cung cấp các loại bong bóng trang trí

  • TRANG TRÍ SỰ KIỆN

    Tổ chức Sự Kiện

     

    Trang Trí Sự Kiện 
    Trang Trí Party 
    Trang Trí Tiệc Cưới 
    Trang Trí Khai Trương 
    Trang Trí Noel
    Trang Trí Lễ Tốt Nghiệp

    Trang Trí Sự Kiện 

     
    Cổng Chào Sự Kiện
    Sân Khấu Sự Kiện
    Đường Dẫn Sự Kiện

    Trang Trí Party 

     
    Tường Bong Bóng
    Trụ Bong Bóng
    Bong Bóng Thả Rơi

    Trang Trí Khai Trương 

     
    Cổng Chào Khai Trương
    Văn Phòng

    Trang Trí Tiệc Cưới 

     
    Cổng Chào Tiệc Cưới
    Sân Khấu Tiệc Cưới
    Backdrop Tiệc Cưới
    Đường Dẫn Tiệc Cưới
    Bàn Tiệc Cưới
    Bàn Ký Tên
    Cô Dâu - Chú Rễ
    Trang Trí Xe Cưới
    Tiệc Cưới Trọn Gói
  • DỊCH VỤ SỰ KIỆN
    • Cho Thuê Khinh Khí Cầu
    • Chú Hề Thổi Bong Bóng
    • Nghệ Thuật Xếp Lá Dừa
    • Cho Thuê Mascot
    • Nặn Tò He
    • MC, Ảo Thuật
  • TIN TỨC
    • Câu chúc hay và ý nghĩa
    • Tin tức mẹ và bé
    • Blog Mẹo Vặt Cuộc Sống
    • Sinh Nhật Người Nổi Tiếng

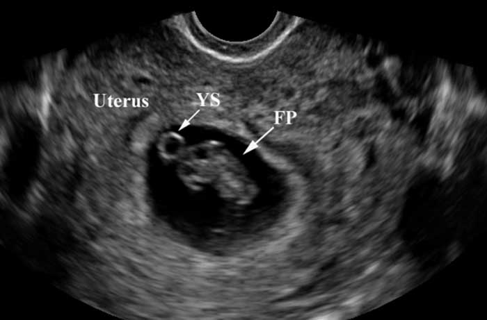
Túi noãn hoàng là gì? Thông tin mẹ bầu không nên bỏ qua – 1

Đã xuất bản Tháng 8 7, 2021 lúc 700 × 461 trong Túi noãn hoàng là gì? Thông tin mẹ bầu không nên bỏ qua – 1
SẢN PHẨM TƯƠNG TỰ:
  • logo-trang-tri-bong-bong-xinh
    Chính sách Bảo mật Thông tin của Công ty TNHH Bong Bóng Xinh
  • 229838-hoang-ty.jpg
    Thực đơn Hoàng Ty có những món ngon nào? Chi nhánh…
  • logo-trang-tri-bong-bong-xinh
    Hoàng Đức được fan tổ chức sinh nhật tại WeChoice…
  • 229844-tui-ngu-cho-be.jpg
    Top 4 túi ngủ cho bé được nhiều mẹ bỉm sữa tin dùng…
  • avatar1680660591968-1680660592364566280389-0-0-628-1200-crop-16806606679511656074610.jpg
    Hot mom khoe túi xách trăm triệu, chồng lập tức nhắn…
  • Avatar1719142831838 1719142831985232212191.jpg
    Joyce Phạm gây ngưỡng mộ vì bụng bầu to không một vết rạn
  • Thôi Nôi
    Thôi Nôi Bé 1 Tuổi Tại Nhà – Không Gian Rực Rỡ, Trọn…
  •  In Bóng In Logo Số Lượng Ít Có Bị Đắt Không
    In Bóng In Logo Số Lượng Ít Có Bị Đắt Không? Câu Trả…
Hiện cả chức năng bình luận và tạo đường dẫn kết nối bị khóa.
← Trước
Tiếp theo →
SỨ MỆNH

Bong Bóng Xinh là một công ty dịch vụ chuyên trang trí sự kiện sinh nhật, thôi nôi, tiệc cưới cho đến tổ chức khai trương và sự kiện. Chúng tôi với bề dày kinh nghiệm hơn 10 năm trong lĩnh vực trang trí và tổ chức sự kiện rất hân hạnh là nơi được quý khách đặt trọn niềm tin và sự hài lòng trong ngày trọng đại.

LIÊN HỆ

CÔNG TY TNHH BONG BÓNG XINH

Hotline: 090.908.4174

Email: admin@bongbongxinh.com

Địa chỉ: 2 Đ. Vĩnh Hội, Phường 4, Quận 4, Thành phố Hồ Chí Minh

 

Menu
  • Chúng tôi
  • Quy trình
  • Tin tức
  • Chính sách
  • Lịch sử khách hàng
  • Video Bong Bóng Xinh
  • Báo giá sản phẩm
Fanpage

 

Copyright 2025 © Since 2012 Cty TNHH thương mại và dịch vụ Bong Bóng Xinh
  • TRANG CHỦ
  • TRANG TRÍ SINH NHẬT
    • Phụ Kiện Cho Bé
    • Phụ Kiện Sinh Nhật
    • Cổng Chào Sinh Nhật
    • Sinh Nhật Trọn Gói
    • Sân Khấu Sinh Nhật
    • Backdrop Sinh Nhật
    • Bàn Quà Sinh Nhật
    • Tiểu Cảnh Sinh Nhật
    • Bóng Jumbo
    • Hộp Surprise
    • Sinh Nhật Theo Chủ Đề
  • BONG BÓNG CÁC LOẠI
    • Bán Bong Bóng Sỉ Và Lẻ
    • Bong Bóng Dài Tạo Hình
    • Bong Bóng Bạc
    • Bong Bóng Tròn
    • In Bong Bóng
    • Bong Bóng Bay
    • Phụ Kiện Trang Trí
    • Bong Bóng Tạo Hình
      • Bong Bóng Chữ
      • Bong Bóng Số
      • Bong Bóng Trái Tim
      • ICE CREAM BALLOONS
      • Bong Bóng Nghệ Thuật
  • TRANG TRÍ SỰ KIỆN
    • Trang Trí Sự Kiện
    • Trang Trí Party
      • Trụ Bong Bóng
      • Tường Bong Bóng
    • Trang Trí Tiệc Cưới
      • Cổng Chào Tiệc Cưới
      • Sân Khấu Tiệc Cưới
      • Backdrop Tiệc Cưới
      • Đường Dẫn Tiệc Cưới
      • Bàn Ký Tên
      • Bàn Tiệc Cưới
      • Cô Dâu – Chú Rễ
      • Trang Trí Xe Cưới
      • Tiệc Cưới Trọn Gói
    • Trang Trí Khai Trương
      • Trang Trí Văn Phòng
      • Cổng Chào Khai Trương
    • Trang Trí Lễ Tốt Nghiệp
    • Trang Trí Noel
    • Bong Bóng Thả Rơi
  • DỊCH VỤ SỰ KIỆN
    • Cho Thuê Khinh Khí Cầu
    • Chú Hề Thổi Bong Bóng
    • Nghệ Thuật Xếp Lá Dừa
    • Cho Thuê Mascot
    • Nặn Tò He
    • MC, Ảo Thuật
  • TIN TỨC
    • Câu chúc hay và ý nghĩa
    • Tin tức mẹ và bé
    • Blog Mẹo Vặt Cuộc Sống
    • Sinh Nhật Người Nổi Tiếng
  • Login
  • Newsletter
Trang web này sử dụng cookies để cải thiện trải nghiệm trực tuyến của bạn, cho phép bạn chia sẻ nội dung trên mạng xã hội, đo lường lưu lượng truy cập vào trang web này và hiển thị quảng cáo tùy chỉnh dựa trên hoạt động duyệt web của bạn.
Đồng ý Cookies
Gọi ngay
Chat với chúng tôi qua Zalo
Facebook Messenger

Login

Lost your password?